搜索

搜索

近期热门

开启左侧

[分享] 脑干梗死不会定位?脑干综合征太多记不住?这篇总结全了

[复制链接]
咖啡色的夕阳 发表于 2022-11-22 01:08 | 显示全部楼层 |阅读模式 打印 上一主题 下一主题 来自: 宁夏银川
 

登陆查看更多精彩内容!

您需要 登录 才可以下载或查看,没有账号?立即注册

x
掌握脑动脉供血区可帮助临床医生定位责任血管,鉴别梗死及非梗死病变。本文主要梳理脑干的血供、常见的脑干梗死综合征及责任血管定位。

1、椎-基底动脉血液供应

椎-基底动脉系统,主要供应大脑半球后 2/5 部分、丘脑、脑干和小脑的血液。

脑干梗死

脑干梗死

椎-基底动脉系统图源:作者提供

01、椎动脉

椎动脉一般起始于锁骨下动脉,向后上方走形,到达第 6 或第 5 颈椎后在横突孔中上行至第 1 颈椎横突孔构成的骨管隧道内,达寰椎横突孔上面弯向后内,绕过寰椎后弓,穿硬膜经枕骨大孔入颅,并向前至脑桥下缘汇合成基底动脉,故称椎-基底动脉。

全程共分为 4 段或 5 段:

脑干梗死

脑干梗死

椎动脉 5 分法和 4 分法
图源:徐桂兴手绘

椎动脉主要分支及供血范围如下:

1)脊髓前动脉:一般在椎动脉合并成基底动脉前发出,左右两条均斜向前内合成一条,沿脊髓前正中裂下降,供应脊髓前 2/3,包括前角、侧角、中央灰质、后角根部及脊髓前、侧索。

脑干梗死

脑干梗死

椎动脉供应脊髓的分支、脊髓前动脉的分布
图源:《临床神经解剖学》第 2 版
2)脊髓后动脉:可直接从椎动脉主干发出,但更常见的是从小脑后下动脉起始,主要分布于脊髓的后角和后索。

脑干梗死

脑干梗死

脊髓后动脉的分布区图源:《临床神经解剖学》第 2 版
3)小脑后下动脉:是椎动脉最大、变异最多的分支。发出部位多在双侧椎动脉合成基底动脉前 1 cm 处,其分支供应延髓背外侧、小脑蚓部和小脑半球下部的血液。

脑干梗死

脑干梗死

小脑后下动脉分支走行
图源:《临床神经解剖学》第 2 版

02、基底动脉

基底动脉系左右椎动脉在脑桥下缘合并而成,上行至脑桥上缘,再分为左右大脑后动脉。基底动脉通常偏向一侧,并不走形在中线上。其主要分支如下:

1)小脑前下动脉:主要供应小脑下面的前外侧部、内耳、脑桥被盖下部等处的血液。

2)小脑上动脉:在近脑桥上缘处由基底动脉发出,分为内外两终支。内侧支分布于小脑上蚓部、前髓帆等处,外侧支分布于小脑半球上面。小脑的三支动脉是按照供血的范围命名。

3)脑桥支:脑桥支是基底动脉分布于脑桥的许多小支的总称,可分为 3 组,即旁正中动脉、短旋动脉和长旋动脉,分别供应脑桥旁正中区、脑桥前外侧部及脑桥背外侧部

脑干梗死

脑干梗死

基底动脉及其脑桥支
图源:《临床神经解剖学》第 2 版

4)大脑后动脉:皮层支供应大脑半球后部包括枕叶和颞叶底部,深穿支供应脑干、丘脑、海马和膝状体等,其分支脉络膜后动脉供应第三脑室和侧脑室脉络丛。

2
中脑的血液供应
及中脑梗死综合征

1)中脑旁正中动脉:主要自大脑后动脉发出,也有来自基底动脉分叉处和后交通动脉者。主要供应中缝两旁结构,包括大脑脚底的内侧部、内侧纵束、交叉前后的结合臂、动眼神经核及动眼神经根、滑车神经核。

2)中脑短旋动脉:起于大脑后动脉近侧端、小脑上动脉和脉络膜前动脉,供应大脑脚底的中间部和外侧部、黑质的外侧部和中脑上部。

3)中脑长旋动脉:也称四叠体动脉,上部起自大脑后动脉和脉络膜后动脉,下部发自小脑上动脉。供应上下顶盖和被盖外侧部。

脑干梗死

脑干梗死

脑干梗死

脑干梗死
中脑的血液供应区域及动脉分布
图源:《临床神经解剖学》第 2 版

>> 中脑梗死常见的临床综合征

1)Weber 综合征(大脑脚综合征):

Weber 综合征为大脑后动脉脚间支和脉络膜后动脉闭塞所致,表现为:① 病灶侧动眼神经麻痹;② 病灶对侧偏瘫(包括中枢性面瘫和舌瘫)。

脑干梗死

脑干梗死

Weber 综合征图源:《Duus 神经系统疾病定位诊断学》第 8 版


脑干梗死

脑干梗死

Weber 综合核磁表现图源:作者提供 / 徐桂兴手绘

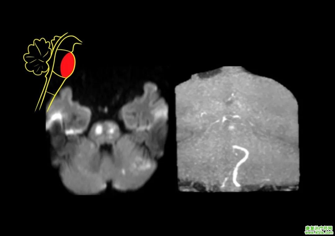
2)红核动眼综合征(Claude 综合征):

病变损害动眼神经、红核及小脑上脚,表现为病灶侧动眼神经麻痹、意向性震颤及对侧小脑性共济失调。

脑干梗死

脑干梗死

红核动眼综合征
图源:《临床神经解剖学》第 2 版


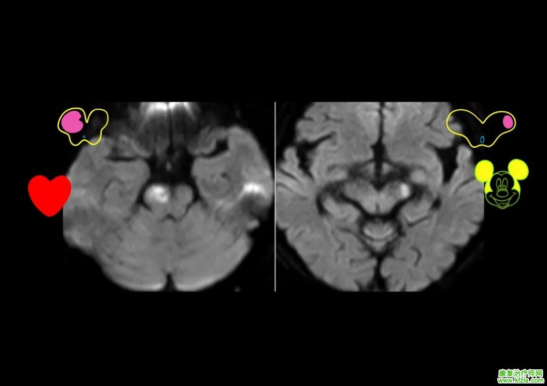
临床病例
55 岁女性,主因「视物重影、行走不稳 6 天,左眼睑下垂 5 天」入院。查体:左眼睑下垂,左瞳孔 4 mm,光反射迟钝,右瞳孔 3 mm,光反射灵敏,左眼内收、上下运动受限,左眼各方向活动可,右侧指鼻试验及跟膝胫试验不稳,Romberg 征阳性。头颅核磁如下:

脑干梗死

脑干梗死

病例来源:参考文献

3)红核综合征:

病变侵犯动眼神经、黑质、红核,而锥体束未受影响,表现为:① 病灶侧动眼神经麻痹;② 病灶对侧肢体震颤、强直或舞蹈样动作、手足徐动及共济失调。

脑干梗死

脑干梗死
红核/Benedikt 综合征
图源:《 Duus 神经系统疾病定位诊断学》第 8 版

4)中脑背侧综合征(Parinaud Syndrome):

病灶累及中脑网状结构包括内侧纵束间质核(RIMLF)及与其联系的 Cajal 间质核(INC)和 Darkschewitsch 核(ND),还有后连核,表现为核上性上视麻痹、瞳孔光近反射分离(对光反射消失、近反射存在),尝试上视时,出现「会聚-回缩性眼震」、眼睑退缩。

脑干梗死

脑干梗死
中脑背侧急性梗死图源:作者提供 / 徐桂兴手绘
3
桥脑的血液供应
及桥脑梗死综合征

1)脑桥旁正中动脉:从基底动脉的背侧发出,分布于脑桥旁正中区,包括桥核、皮质脑桥束、皮质脊髓束及皮质脑干束。

2)脑桥短旋动脉:供应脑桥基底部的外侧部,主要包括皮质脊髓束核内侧丘系的一部分纤维、桥核和脑桥小脑束、一部分三叉、面神经核和三叉等结构。

3)脑桥长旋动脉:起自基底动脉本干、小脑前下动脉和小脑上动脉,分布于脑桥被盖部和脑桥臂大部。

脑干梗死

脑干梗死

脑干梗死

脑干梗死
脑桥的血液供应区、脑桥的动脉分布
图源:《临床神经解剖学》第 2 版

>> 常见的桥脑梗死综合征

1)桥脑腹外侧综合征(Millard-Gubler):

病变位于脑桥腹外侧部,损伤展神经、面神经、锥体束、脊丘束、内侧丘系,表现为:① 病灶侧外展神经瘫(周围性)和面神经瘫(核性);② 对侧中枢性瘫;③ 对侧偏身感觉障碍。

脑干梗死

脑干梗死

桥脑下部综合征
图源:《Duus 神经系统疾病定位诊断学》第 8 版
2)脑桥腹内侧综合征(Fovil 综合征):

由基底动脉旁中央支血供障碍引起,表现为:① 同侧面部所有感觉消失、咀嚼肌迟缓性瘫痪(三叉神经根纤维);② 偏身共济失调,同侧协同障碍(小脑中脚);③ 对侧痉挛性瘫痪(皮质脊髓束);④ 同侧共济失调(桥脑核)。

脑干梗死

脑干梗死
脑桥急性梗死核磁表现
图源:作者提供 / 徐桂兴手绘

3)桥脑被盖下部综合征:

病变位于脑桥背外侧部,为基底动脉短周支和长周支闭塞所致,损伤展神经核和面神经核、内侧纵束、小脑中脚、脊丘束和内侧丘系,表现为:① 病灶侧展神经和面神经核性瘫痪;② 眼球震颤、向病灶侧注视不能;③ 同侧偏身共济失调;④ 对侧痛温觉障碍;⑤ 触觉、位置觉、震动觉减退。

脑干梗死

脑干梗死
桥脑被盖下部综合征图源:《Duus 神经系统疾病定位诊断学》第 8 版

4)桥脑被盖部综合征:

基底动脉长周支或小脑上动脉梗塞,表现为同侧面部感觉障碍(三叉神经所有纤维中断)和咀嚼肌瘫(三叉神经运动核),偏身共济失调、意向性震颤、轮替运动不能(小脑上脚),对侧所有感觉消失。

脑干梗死

脑干梗死
桥脑被盖部综合征
图源:《Duus 神经系统疾病定位诊断学》第 8 版

临床病例
52 岁男性,既往「高血压」病史,以「头晕伴言语不清、口角歪斜 15 d」为主诉入院,患者 15 d 前无明显诱出现头晕,伴恶心、呕吐、全身出汗,未诊治;后症状逐渐加重出现视物重影、言语不清、饮水呛咳,查体:构音障碍,双眼球左右运动不能,上下运动正常,无眼震。右侧额纹消失,右眼闭目无力,右侧鼻唇沟浅,示齿口角左偏,右侧鼓腮漏气,Romberg 征(+),走「一」字不稳。头颅核磁提示双侧脑桥被盖部梗死:

脑干梗死

脑干梗死

病例来源:参考文献


5)脑桥旁正中动脉梗死:

脑干梗死

脑干梗死

脑桥旁正中动脉梗死图源:参考文献


6)闭锁综合征:

闭锁综合征为脑桥基底部病变所致,多为基底动脉脑桥分支双侧闭塞所致。下图为基底动脉闭塞导致的闭锁综合征 2 例。

脑干梗死

脑干梗死

脑干梗死

脑干梗死
图源:作者提供 / 徐桂兴手绘
4
延髓的血液供应
及延髓梗死综合征

在延髓横切面上,其血液供应区域可分为 3 部,即旁正中动脉、短旋动脉、长旋动脉,延髓上段和下段的血液供应稍有不同。

脑干梗死

脑干梗死

延髓的动脉分布

图源:《临床神经解剖学》第 2 版

>> 常见的延髓梗死综合征

1)延髓背外侧综合征:

病变位于延髓上段的背外侧区,常见的原因为小脑后下动脉或椎动脉血栓形成。表现为:① 眩晕、恶心、呕吐及眼震,为前庭神经核损害;② 病灶侧软腭、咽喉肌瘫痪,表现为吞咽困难、构音障碍、同侧软腭低垂及咽反射消失(疑核及舌咽、迷走神经损害);③ 病灶侧共济失调(绳状体损害);④ Horner 综合征(交感神经下行纤维损害);⑤ 交叉性感觉障碍,即同侧面部痛温觉缺失(三叉神经脊束及脊束核损害),对侧偏身痛、温觉减退或消失(脊髓丘脑侧束损害)。

临床病例
病例 1:58 岁男性,「高血压」、「糖尿病」病史,急性共济失调起病,后出现眩晕、中枢性眼震、左侧面部及右下肢针刺痛觉减退、Horner 征、饮水呛咳、声音嘶哑、咽反射减弱,核磁如下:

脑干梗死

脑干梗死

图源:参考文献 / 徐桂兴手绘


病例 2:33 岁男性,眩晕、恶心呕吐,查体见眼震,声音嘶哑、饮水呛咳,查体:软腭上抬无力,咽反射消失,左侧偏身痛觉减退,小脑性共济失调。

脑干梗死

脑干梗死

图源:参考文献


2)延髓旁正中综合征(Dejerine syndrome):

病变位于延髓中腹侧,为椎动脉和基底动脉旁中央支梗死所致。表现为:① 病灶侧舌肌瘫痪及萎缩(舌下神经损害);② 对侧肢体中枢性瘫痪(锥体束损害);③ 对侧肢体深感觉障碍(内侧丘系损害)。

脑干梗死

脑干梗死
延髓中部综合征图源:《Duus 神经系统疾病定位诊断学》第 8 版

脑干梗死

脑干梗死
延髓旁正中综合征核磁表现
图源:参考文献 / 徐桂兴手绘
审核专家:徐桂兴博士 中山大学附属第一医院感谢徐老师给予文图手绘支持!
策划|时间胶囊
题图|站酷海洛
参考资料:
1. 芮德源、朱雨岚、陈立杰,临床神经解剖学(第二版),[M],北京,人民卫生出版社,2015,701-735、767-772;
2. Peter Duus著,刘宗惠、徐霓霓译,Duus神经系统疾病定位诊断学-解剖、生理、临床(第8版),[M],北京,海军出版社,2014,193-203;
3. 彭小雪、包素娟等,Claude综合征一例及文献复习,[J].中国实用神经疾病杂志,2018,21(7):799-801;
4. 梁煜,陈晨等,脑桥梗死致双侧水平凝视麻痹并一侧周围性面瘫,[J].神经损伤与功能重建,2017,12(5):465-466.

原文:丁香园神经时间
 

精彩评论1

正序浏览
因人而异的恢复 发表于 2023-2-15 07:13 来自手机 | 显示全部楼层 来自: 山西长治
 
 
您需要登录后才可以回帖 登录 | 立即注册

本版积分规则


0关注

0粉丝

1帖子

排行榜
  • 好好好好好好
    70
  • 血友病是因以下两种血液凝血因子之一缺乏而引起的遗传性出血性疾病:凝血因子 VIII 或
    1630
  • 有没有偏瘫的儿童病友,有没有人听说过CIMT,就是把健康手固定起来促进宝宝多用不方便
    1600
  • 骨髓炎是由细菌、分枝杆菌或真菌引起的炎症及骨破坏。根据默沙东诊疗手册大众版记载:
    890
  • 反应性关节炎是一种由前驱感染(通常是消化道或泌尿生殖道的感染)诱发的急性脊柱关节
    1670
  • 霍奇金淋巴瘤是一种淋巴网状系统的局限性或弥漫性的恶性增殖性疾病,主要累及淋巴结、
    1040
  • 当甲状旁腺过度活跃导致血液中的甲状旁腺激素 (PTH) 水平升高时,会发生甲状旁腺功能
    990
  • 正视状态的眼球(正常屈光),入射光线经过角膜、晶状体后聚焦于视网膜表面,形成清晰
    1410
  • 正常体温因人而异,且在一天中不同时间也有所差异(通常下午最高)。幼儿园年龄段儿童
    1340
  • 阻塞性睡眠呼吸暂停(OSA)包括睡眠期间发生的上呼吸道部分或完全关闭的多次发作,并
    1610
作者专栏
中国康复治疗师网APP下载
发布主题 快速回复 返回列表

提供优质康复职称考试辅导服务

康复学习就上康复治疗师网

康复医学职业教育O2O创新品牌

10年优越口碑历程见证

  • 官网微信

    每天官微五分钟,一年萌新变大神

    扫码关注
  • APP客户端

    48+W康复治疗师邀您加入!

    下载APP客户端
  • 官方客服
KFZLS.COM

学习是回报率最高的投资!

悄悄变强大,惊艳所有人!

Copyright © 2012-2025 康复治疗师网All rights reserved. Powered by Discuz! 技术支持:职跃通科技  ( 湘ICP备2025132993号-1|湘公网安备43010502001851号 ) |网站地图