搜索

搜索
开启左侧

[原创] 坐骨神经痛患者该何去何从-PRIMARY CARE OR PHYSICAL THERAPY

[复制链接]
脊近完美康复 发表于 2021-2-20 15:12 | 显示全部楼层 |阅读模式 打印 上一主题 下一主题 来自: 上海浦东新区
 

登陆查看更多精彩内容!

您需要 登录 才可以下载或查看,没有账号?立即注册

x
腰痛(low back pain)已经成为世界第二大疼痛疾病,所以影响了很多人的工作甚至生活。而坐骨神经痛(sciatica)是腰部疼痛之中最常见的放射性症状之一。坐骨神经痛,在大部分人的病例中,导致了椎间盘紊乱、下肢酸麻胀痛、久坐疼痛等其他不同的症状。

虽然坐骨神经痛非常常见,但是关于非药物性物理治疗方案的有效性研究是非常少的,并且临床上的初级保健管理也是非常少的,到底坐骨神经痛怎么治疗?怎么吃药?要不要治疗?让我们通过一个美国犹他大学物理治疗实验室(SaltLake City, Utah)的研究来告诉各位坐骨神经痛患者,到底何去何从?

参与人员:
首先这个研究从2116名人员中根据症状和年龄以及条件筛选到了220名参与者,这些年龄处于18岁到60岁的坐骨神经痛患者,他们的发病时间不超过三个月。通过随机取样原则将110名患者分配到UC(usual care)组,此组的组员仅提供一疗程的日常护理以及运动教育;而另一组则将110名患者分配到EPT(early physical therapy)组,也就是早期物理治疗干预组,进行为期四周的物理治疗包含手法操作和运动治疗。
bf53b10ff39a865a72ef3f678e207cc0.png
(*上图为参与人员筛选过程以及四周后各自的状态)

研究过程:
六个月后,实验室首先通过一个(OSW)失能指数评分,其次通过一个疼痛指数,患者疼痛自我评估,患者治愈率,医保使用率以及因病请假的天数进行评估。

注:OSW(Oswestry disability index)功能障碍指数量表——该问卷专门设计为医务人员了解您的腰痛(或腿痛)对您日常活动的影响,其中包括疼痛的程度,日常活动自理能力,提物,行走,坐,站立,睡眠,社会活动,郊游。

研究结果:
在OSW失能指数评分中,EPT(早期物理治疗干预组)在六个月中有明显的提升。在一年之后的治愈率调查中,45.2%的EPT组患者痊愈,而UC(日常护理组)治愈率仅仅为27.6%。在因病请假和医保指标中,这两组没有明显差别。
5e802d10b8272bc658d4bbdd97218cfd.png

(*上图为两组在腰痛引起的致残率、腰痛程度和腿痛程度对比)

结论:        早期物理治疗干预相比日常护理,更好的改善了坐骨神经痛的患者的临床疼痛,增加了治愈率,改善了生活指数。
运动功能性治疗

那坐骨神经痛要怎样进行康复治疗呢?首先我们的目的是要加强坐骨神经周围肌群的能力训练,训练方法主要可以概括为仰卧位训练、俯卧位训练、站立位训练三种。从而达到牵伸臀肌,以及加强腰腿部功能的目的。在这里我们列举几个简单的运动康复训练。

具体动作举例:

1.仰卧位,屈髋90度屈膝90度,伸膝,踝背屈。
9439e538ae8ac672365b7cd8173af0af.gif

2.俯卧位,如图所示,患侧置于床缘,患侧脚放置于地面,从屈髋屈膝位到膝关节完全伸展,做一个蹬地的动作。
04b91d2e616f14adac0f25558d127075.gif

具体案例分析:
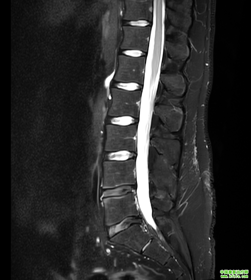
一位34岁绘画老师,男性,主诉是腰部疼痛,伴随右侧放射性麻木到大腿,长时间坐着酸胀感增加,无法搬重物,弯腰疼痛。医院拍片发现双侧椎间孔狭窄,L4/L5,L5/S1椎间盘突出,卡压神经根。直腿抬高试验阳性,slump试验阳性,弯腰测试阳性。
f4940fd6cb609653082a80c604d593b3.png

a00343da74c7834a7b73f62d4cb96ae3.png

3fbf834e35c48b70b4481a499a228fa5.png
*根据以上症状,我们给出了具体康复治疗方案

第一阶段手法调理方案:
双侧髂腰肌松解;双侧多裂肌松解;右侧腰方肌松解;腰椎关节松动术。
05c14531ac2e8449e3dbc8a6269955d9.png
*上图为双侧髂腰肌手法松解

b8bbfc3952dee72f5795899e5316106e.png
*上图为双侧多裂肌手法松解

第一阶段运动调理方案:SET核心方向强化训练;臀肌功能性训练;站立训练(核心+臀)
8e577bcf3eb41d3701e9efc502c94670.jpg

976ad2701db8926e978deaecedb7c189.jpg

dff0975a49a7db82e8b05fdd0badb173.jpg

600bb09b1ab0f86895cbc2f12d09c963.jpg

d7bce3b1e7a650577eb0178736d433a8.jpg

7842e27562dacb585ea36f71decfe2f4.jpg

思考:
通过这篇文章我们了解到了,早期物理治疗干预对腰痛患者,特别是坐骨神经痛患者的影响。如果只是进行简单的日常护理和运动指导,到底会不会得到我们物理治疗师或者康复科医师想要的所谓的“康复”,想必答案大家都心中有数。一个成功的物理治疗案例不仅仅是通过一位医生或者一位物理治疗师自己的努力,而是和整个康复团队或者康复小组以及病人本身的康复意识和配合程度息息相关。

我们中国在物理治疗以及运动康复这领域上还是处于刚起步的阶段,建立起全民康复的意识,才是我们首要应该解决的问题。

通过这个调查实验以及本篇文章,作为一名物理治疗师,我只希望更多的腰痛患者,走出家门,正视自己的问题,积极配合,努力治疗。不要认为短暂的疼痛不会影响我们的生活,不要不重视初次发病,认为过几天就好,不要拖沓等到下一次疼痛加重再去治疗。

所以,无论是找到医院的康复科还是找到正规的康复医疗机构,要坚信我们作为一个康复人的专业和初心,除人类之病痛,助健康之完美,是我们曾经立下的医学誓言,也是我们踏入医疗行业不曾忘记的初心。

文章中实验出处:
                Fritz, J. M., Lane, E., McFadden, M., Brennan, G., Magel, J. S., Thackeray, A., ... & Greene, T. (2020). Physical Therapy Referral From Primary Care for Acute Back Pain With Sciatica: A Randomized Controlled Trial. Annals of Internal Medicine.     
 

精彩评论9

正序浏览
陈琼园 发表于 2021-5-12 00:32 | 显示全部楼层 来自: 上海浦东新区
 
点赞
 
付子健 发表于 2021-7-19 01:48 | 显示全部楼层 来自: 上海浦东新区
 
谢谢~
 
新语 发表于 2021-7-19 02:04 | 显示全部楼层 来自: 上海浦东新区
 
点赞
 
胡豆子子 发表于 2021-7-19 02:27 | 显示全部楼层 来自: 上海浦东新区
 
谢谢楼主
 
付子健 发表于 2021-7-19 02:47 | 显示全部楼层 来自: 上海浦东新区
 
谢谢楼主
 
闫新玉 发表于 2021-7-19 05:24 | 显示全部楼层 来自: 上海浦东新区
 
谢谢楼主
 
付子健 发表于 2021-7-19 05:36 | 显示全部楼层 来自: 上海浦东新区
 
谢谢~
 
您需要登录后才可以回帖 登录 | 立即注册

本版积分规则


0关注

2粉丝

91帖子

排行榜
  • 疟疾是由 Plasmodium(疟原虫)感染所引起的疾病。症状和体征包括发烧(可能是周期性
    860
  • 白喉是一种主要由产毒素的革兰阳性杆菌Corynebacterium diphtheriae(白喉棒状杆菌)
    780
  • 莱姆病是一种由蜱传播的,伯氏疏螺旋体感染导致的疾病。早期症状包括游走性红斑,随后
    750
作者专栏
中国康复治疗师网APP下载
发布主题 快速回复 返回列表

提供优质康复职称考试辅导服务

康复学习就上康复治疗师网

康复医学职业教育O2O创新品牌

10年优越口碑历程见证

  • 官网微信

    每天官微五分钟,一年萌新变大神

    扫码关注
  • APP客户端

    48+W康复治疗师邀您加入!

    下载APP客户端
  • 官方客服
KFZLS.COM

学习是回报率最高的投资!

悄悄变强大,惊艳所有人!

Copyright © 2012-2025 康复治疗师网All rights reserved. Powered by Discuz! 技术支持:职跃通科技  ( 湘ICP备2025132993号-1|湘公网安备43010502001851号 ) |网站地图